Info Kesehatan
Wapada ! Tubuh Alami 10 Tanda Perubahan Ini, Ciri Penyakit Tersembunyi Menggerogoti
Alih-alih menganggap tanda perubahan itu sebagai hal yang biasa-biasa saja terjadi, ada kalanya perubahan tubuh tak boleh kita abaikan.
Ini juga bisa disebabkan oleh adanya infeksi jamur yang mempengaruhi kondisi epidermis secara keseluruhan.
Kasus terakhir biasanya berjalan bersama dengan banyak retakan dan menguningnya lempengan kuku.
Jika kekeringan dan kekasaran tidak hilang bahkan dengan perawatan yang tepat dan asupan vitamin yang cukup, ini mungkin merupakan tanda gangguan endokrin.
7. Kulit tangan dan tubuh kering
Kulit kering adalah hal yang normal terjadi saat musim dingin, Anda dapat menggunakan krim pelembab, mengonsumsi banyak air dan vitamin untuk mengatasinya.
Namun jika solusi tidak membantu, Anda sebaiknya mengunjungi dokter kulit.
Hal itu karena kulit kering juga merupakan salah satu tanda umum diabetes dan hipotiroidisme.
Jika kulit Anda tidak hanya kasar dan mengelupas namun juga menjadi ketat dan penuh retakan, mungkin Anda terkena dermatitis sebagai reaksi alam atau paparan zat kimia.
• Lama Tak Terdengar Kabar, Band Steven & Coconut Treez Bersitegang di Pesawat, Gara-gara 3 Ton Durian
8. Deformitas kaki
Perubahan bentuk kaki dapat ditandai dengan hilangnya lengkungan longitudinal atau yang biasanya melintang.
Penyebabnya bisa karena pemakaian sepatu hak tinggi yang menempatkan beban terbesar di area lengkungan melintang pada kaki.
Ketika lengkungan ini tidak mampu menahan beban seperti itu, kaki menjadi sakit dan itulah awal dari deformitas kaki.
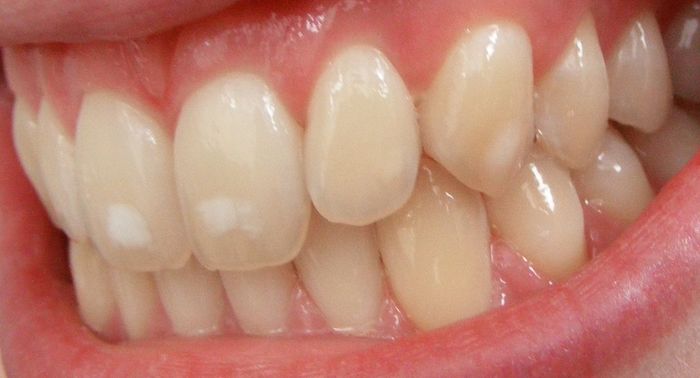
9. Noda putih pada gigi
Fluorosis gigi adalah penyakit kronis yang berkembang baik sebelum tumbuh gigi atau setelahnya.
Ada yang 5 jenis klasifikasi fluorosis: meragukan, sangat ringan, ringan, sedang, dan berat.
:quality(30):format(webp):focal(0.5x0.5:0.5x0.5)/bogor/foto/bank/originals/ilustrasi-bibir-pecah-pecah_20181106_115005.jpg)